I am asked this question a lot. How is your quality of life? My oncologist on diagnosis told me to “live my best life”. What does this mean? Are we all living our best lives?
The Oxford dictionary defines this as “The standard of health, comfort and happiness experienced by an individual or group” There it is again- Happiness!!!
When I look at this diagram of the indicators of quality of life, in my opinion I have a great quality of life, other than my health diagnosis. True, my health has limited my options for leisure time and now that I have more time in my day that is unfortunate however when I look at the other indicators, I am doing great!!!Maybe it is about the amount of weight you put on those indicators. Some of them weigh in high- Family, security, mental state, social life, material state.
Choosing to flip my thinking helps a lot.
I only paddled to the lake and back, flips to I got to paddle to the end of the lake and back. The words we use MATTER!

Anyway, enough of life according to Dawn. Here is what you really want to know:
MRI Update
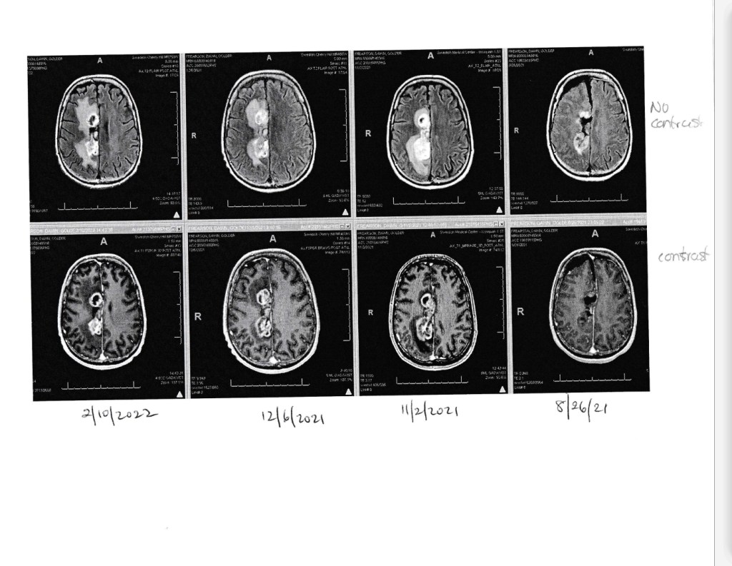
Here are the notes from the MRI. Maybe you can make more sense of them?
FINDINGS:
Prior right parietal vertex craniotomy. Heterogeneous bilobed enhancing mass is redemonstrated medially within portions of the right cingulate gyrus. The more anterior component measures up to 2.4 x 2.0 cm, previously 2.3 x 2.1 cm. The more posterior component measures up to 2.7 x 2.0 cm, previously 3.0 x 2.3 cm. Overall, slightly smaller. Similar enhancement connecting these regions and thinly along a surgical tract extending superlaterally within the right frontal lobe. On perfusion imaging, RCBVs within the more anterior enhancing area is between 2.1 and 3.7 inferiorly. RCBVs within the more posterior area is between 2.2 and 2.5. Similar postsurgical parenchymal loss within the right posterior body of the corpus callosum and some of the overlying right frontal white matter, with associated areas of internal and surrounding hemosiderin deposition.
Non enhancing T2 hyperintensity within portions of the surrounding / overlying right frontal lobe and the right parietal lobe is slightly increased. RCBVs between 1.3 and 1.7. There is similar mild local mass-effect on the superior aspect of the right lateral ventricle. Ventricular caliber otherwise appears on remarkable. No additional, new or worsening enhancement.
Translated this is NO NEW GROWTH and a shrinking of the tumor size.
Bottom Line: The oncologist was very happy with the results. As my sister-in-law Sabine said, Doctor happy, I am happy. We need to keep on doing what we are doing as for now it works!!!!
As always, Thanks for all the positive messages of support.

Dawn, je viens de lire le résultat de tes derniers examens, il faut donc continuer ta vie comme tu le fais actuellement, en plus les beaux jours arrivent et tu vas pouvoir plus profiter du renouveau de la campagne que tu aimes tant avec David. Plein de bisous Sylvie
LikeLike
Hi Dawn, I read the post trying desperately to understand the medical jargon but loved your summary. Now I get it! 🤣. It’s lovely to know things are going in the right direction. Hopefully this will keep improving and enable you to do more with your family and friends. Lots of love from over the pond. Xxx
LikeLike
I think your perspective on life has help ME and I bet others change their dialogue and perspective on what is really important to us and how do we try to live our best life. Thank YOU for your words of wisdom and positivity! BEST TO YOU!
Marne
LikeLike
You are so kind. Thank you for those words. I appreciate your thoughts and support.
Dawn
LikeLike